
生活中心/陳孟暄 李奇 台北報導
又有一例罕見的醫療奇蹟手術!53歲的潘小姐在健檢發現罹患「惡性平滑肌肉瘤」,生長位置剛好卡到心臟,原本是沒救了,不過各科醫師強強聯手,不想放棄這個治療機會,把肝臟拿出來切除腫瘤,花了14小時,才順利完成拆彈。
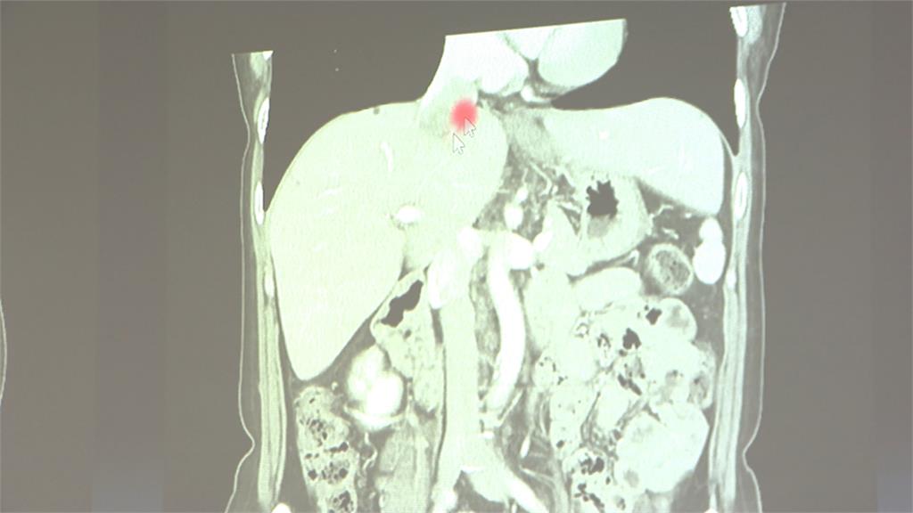
53歲的潘小姐,去年健檢時,發現肝臟有腫塊,進一步確診是惡性平滑肌肉瘤,生長位置一路延伸到進右心房,聽到這消息,讓她十分絕望。

患者 潘小姐:「記得主任跟我說過一段話,他說,我不想放棄妳,所以你也不能放棄你自己」。
在醫生的鼓勵下,潘小姐沒有放棄,透過肝臟移植科、心臟科、整形外科等,各科醫師強強聯手,將整個肝臟取出,在體外把腫瘤切乾淨,再放回,歷經14個小時,全神貫注,一分一秒都不馬虎,堪稱「拆彈級」手術。
醫師 劉君恕:「潘女士這一次很堅強的接受艱難的手術,我覺得其實是潘女士的勇氣,才能鼓起我們這些醫師的熱情。那我也希望以這次手術的一個成功,來告訴這個可能有類似這樣需要的病人不要放棄自己」。

患者 潘小姐:「其實過程真的很辛苦,因為其實是從喉頭這邊,整個就是肚子開了一個大賓士刀這樣子,自己也很努力,醫護團隊都很認真,那我覺得既然來這邊,沒有它想,就是相信跟信任」。
手術至今已過半年,潘女士恢復良好,更開玩笑說,身上的疤痕是她的「光榮印記」,為這場台灣罕見手術,寫下醫療奇蹟,也希望帶給更多病患正能量。



















