
財經中心/陳妍霖 胡崇恩 周秉瑜 桃園報導
桃園市一名家長控訴,女兒就讀的國中,練啦啦隊時,疑似沒有放防護措施,導致女兒慘摔倒地,臀部挫傷、尾骨骨折,痛批學校沒有做好防護,要向校方調閱監視器、釐清真相,但從11月25號事發至今,整整7天沒下文,不過校方回應說,鋪防護墊容易滑,反而會造成抬舉的學生容易受傷,會重新尋覓場地,也會要求社團老師避免抬舉動作。現在,桃園市教育局要求學校立即檢討場地安全,避免意外重演。
青春洋溢、賣力練習,加入啦啦隊是不少女孩的夢想,但現在有家長控訴,女兒就讀的桃園一間國中,啦啦隊練習時,地板疑似沒有防護措施,導致女兒被重摔倒地。

投訴家長胡小姐指出,「上班上到一半,那個校護老師打電話給我說,小朋友在練啦啦隊的時候,接她的同學沒有接好,所以導致她摔落嘛,我當下我覺得,摔落其實還好,因為練啦啦隊,我們知道一定是會有鋪設軟墊嘛,那可是那個校護老師跟我說,媽媽沒有,她是直接摔到地上,怎麼會遇到這樣的事情,那你要開設這樣子的社團,你是不是要有應該有防護措施」。
投訴家長胡小姐不滿說,「事發當天接獲訊息,當下跑去學校,想要看場地釐清真相,也想拍照,看看到底怎麼發生的,但校方當下一直講說不用拍照,因為學校有監視器,你現在拍也沒有用,但是我說,我不管你軟墊拉來拉去或怎麼樣,但是我想拍摔落的地方,確實就是地板,我覺得太有瑕疵啦」。

眼眶泛紅,說到哽咽,最讓家長心疼的,還有這一個。

投訴家長胡小姐痛批指出,「小朋友就跟我說,組長就已經跟我講說,妳受傷有這麼嚴重嗎?要到回家?然後再來就告訴她說,如果這件事情變大,那社團老師可能會被懲處,那妳可能也沒有辦法比賽,沒有辦法參賽,那以後可能也沒有比賽的機會了,那這是不是很明顯的一個言語恐嚇,情勒小孩,我覺得這非常不對」。
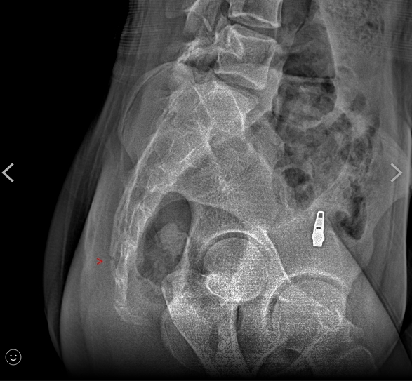
「她是這個地方裂了!」秀出X光片,還有受傷照,表面明顯瘀青,診斷證明書寫著,臀部挫傷,尾骨骨折,讓家長一看超心疼,要調閱監視器、釐清真相,但從11月25號發生至今,已經7天,學校遲遲沒有回應。不過校方祭出4點聲明說,練習場地在藝文中心舞台上,地板材質是礦石卡扣地板,有彈性,鋪防護墊容易滑,反而造成抬舉的學生受到更嚴重的傷害,才沒有使用防護墊,後續會尋覓合適場地,也會避免做抬舉動作,對於學生受傷,表達遺憾。

桃園市教育局校安室主任施力中表示,「教育局堅持以學生安全為最高原則,已責成學校即刻檢討場地適切性,務必落實防護措施以及防止意外重演,針對事發經過,已要求校方完整保全監視器畫面以釐清真相,教育局已督導學校行政團隊應主動積極介入關懷,協助後續理賠並持續追蹤學生復原狀況」。
現在桃園市教育局已經介入,要追查監視器畫面,釐清真相,也要求學校立即檢討場地,避免更多學生受傷。



















