
中部中心/陳嫈其、蔡枘埏 台中報導
身邊的人突然倒下、沒有呼吸,該怎麼辦?台中有49歲男子,疑似急性心肌梗塞,在睡前突然失去意識,命懸一線。關鍵時刻,太太照著119指示不間斷CPR,直到救護人員抵達,接力AED,抵達醫院用葉克膜與心導管手術,硬是把人從鬼門關搶救回來。

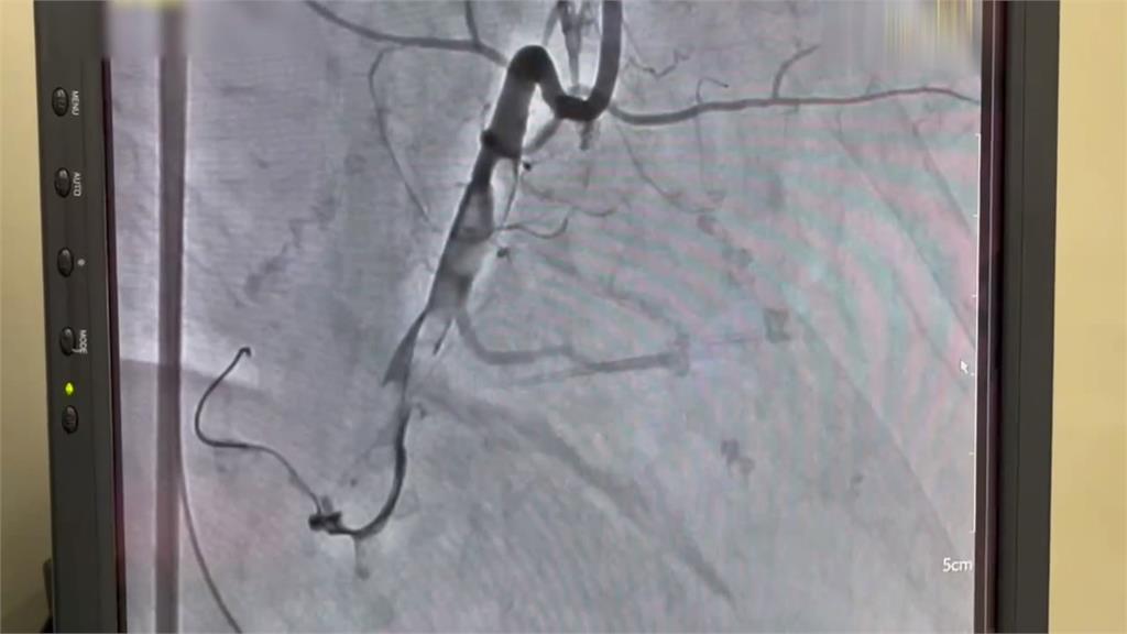
鬼門關前走一回!「葉克膜+心導管手術」存活率達55%(圖/翻攝畫面)
醫護人員一上一下、雙手不斷按壓胸口,對著安妮實施CPR。這看似重複的動作,可能就是救命關鍵。台中就有一名,49歲游姓男子,過去沒有任何特殊病史,某天晚餐後感到不適,卻不以為意。準備去就寢時,突然失去意識。太太發現怎麼叫都沒反應,立刻撥打119,並在電話指導下開始CPR,直到救護人員到場。

單靠CPR遠遠不足,送往醫院途中,救護人員為病患,進行10次AED電擊,到院時,心電圖顯示"致命性心律不整"。院方緊急裝上葉克膜,來維持病患的心跳與血液循環,爭取時間進行"心導管手術",打通被血栓堵住的血管,與死神搏鬥,成功搶回一命。根據統計,病人倒下6分鐘內如果即時獲得cpr急救,可以減少大腦損傷並且提高3倍存活率。不過每延遲一分鐘,存活率就會下降7%。如果在心跳停止時,"葉克膜"及時介入,存活率高達55%,像這名先生到院前就ohca,緊急實施"葉克膜心肺術"搶救,存活率有46%,倒下後的黃金幾分鐘,就可能替後續醫療爭取關鍵時間。



















